Malaria
Es una enfermedad no contagiosa, provocada por un protozoario (Plasmodium) del cual existen 4 especies patógenas para el Hombre: P. falciparum, P. vivax, P. malariae y P. ovale.Es transmitida por la picada de la hembra de un mosquito (Anopheles), que necesita de la sangre, que succiona con la picada, para incubar sus huevos, y que pica principalmente entre la puesta del sol y el amanecer.
El diagnóstico de malaria siempre debe realizarse en gota gruesa, ya que este tipo de muestra concentra de 6 a 20 veces más cantidad de sangre que el frotis, y por ende hay un mayor número de parásitos en el campo microscópico. La gota gruesa es una técnica de observación más sensible, y el frotis es únicamente una herramienta de apoyo para el diagnóstico de especie.
En el frotis de sangre las formas parasitarias se ven más grandes debido a que la estructura del glóbulo rojo se conserva en el frotis (Bailey & Scott, 2009)
Plasmodium vivax
Recuperado de: http://www.medical-labs.net/wp-
content/uploads/2014/06/p-.vivax-1.gif
Trofozoito
Recuperado de: http://1.bp.blogspot.com
/-VBDHD15Q4To/UFEUb1fRtFI/AAAAAA
AAALU/bi6i2e_-mJE/s320/pvivax1.png
Tamaño: diámetro 10-12 μm
Forma: irregular
Descripción del núcleo y citoplasma: trofozoíto joven de P. vivax tiene forma de anillo y se diferencia del P. falciparum por su tamaño principalmente, ya que es más grande , cubre ¼ a 1/3 del diámetro del eritrocito), y su citoplasma más denso, sobre todo en el polo opuesto al núcleo. El núcleo se distingue por su forma redonda y la ausencia de pigmento. En unas cuantas horas, el anillo aumenta de tamaño y el citoplasma se vuelve ameboide. El núcleo aumenta de tamaño moderadamente. Después de 6 a 8 horas de crecimiento aparecen gránulos finos de pigmento malárico. El eritrocito parasitado sufre muy tempranamente cambios importantes: se hipertrofia, pierde su color como si estuviera desprovisto de hemoglobina y tiende a adoptar una forma poligonal.
Organelas y/o inclusiones evidentes: gránulos de Schüffner, se distinguen zonas azules que se extienden en todas direcciones y en las que se distingue un pigmento palúdico fino.
Sitio del cuerpo donde se pueden encontrar normalmente: Sangre periférica
(Bailey & Scott, 2009)
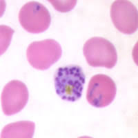
Esquizonte
Recuperado de: http://1.bp.blogspot.com
/_Z-7o1NvMiC0/TPsgzJujIxI/AAAAAAAAAC
w/Y082OF268CY/s1600/esquizon-
plasmo.bmp
Tamaño: diámetro mayor a 10-12 μm
Forma: irregular
Descripción: La separación de la cromatina en varios segmentos permite identificarlos, el citoplasma presenta pocas vacuolas y está bien pigmentado. A medida que los esquizontes maduran, el número de núcleos aumenta y el citoplasma crece y tiende a ocupar todo el eritrocito.; así mismo, el color azul del citoplasma se atenúa y se concentra alrededor de cada núcleo. El esquizonte maduro tiene forma de roseta y ocupa casi todo el eritrocito hipertrofiado (>10 μm). La roseta contiene un mosaico de merozoítos bien delimitados (12 a 18) que se distribuyen en todo el citoplasma, cuyo tamaño se ve reducido. Los gránulos de pigmento se aglomeran y cuando el parásito alcanza la madures se observan 2 o 3 haces café oscuro en su centro.
Organelas y/o inclusiones evidentes: gránulos de Schüffner
Sitio del cuerpo donde se pueden encontrar normalmente: Sangre periférica
(Bailey & Scott, 2009)
Gametocito femenino
Recuperado de: http://noticias.universia.es/es/i
mages/investigacion/p/pa/pal/paludismo.jpg
Forma: irregular
Descripción del núcleo y citoplasma: Los gametocitos adultos ocupan la totalidad del eritrocito parasitado, que se encuentra reducido a un banda delgada cubierta de gránulos de Schüffner. Presentan forma globular, núcleo compacto y voluminoso, y abundantes gránulos de pigmento café negruzco en el citoplasma. El citoplasma de los gametocitos femeninos es de color azul brillante, el núcleo es compacto y se encuentra generalmente hacia la periferia. En el citoplasma abundan gránulos de pigmento. El gametocito maduro, que mide de 10 a 11μm, ocupa prácticamente todo el eritrocito hipertrofiado. El núcleo, localizado en el interior de una bolsita rosada, presenta gránulos con mayor coloración y se separa en dos partes.
Organelas y/o inclusiones evidentes: gránulos de Schüffner
Sitio del cuerpo donde se pueden encontrar normalmente: Sangre periférica
(Bailey & Scott, 2009)
Gametocito masculino
Recuperado de: http://jovenesinvestigadoresparasitologia.
files.wordpress.com/2013/01/p-vivax-gametocito.jpg
Tamaño: diámetro mayor a 15 μm
Forma: irregular
Descripción: El citoplasma de los gametocitos masculinos es de color lila. Su núcleo es más alargado y se extiende en el citoplasma como una bufanda. Los gránulos de pigmento presentan un distribución más irregular y no se encuentran en la zona del núcleo. Son más pequeños que los gametocitos femeninos y nunca ocupan la totalidad del eritrocito
Organelas y/o inclusiones evidentes: gránulos de Schüffner
Sitio del cuerpo donde se pueden encontrar normalmente:Sangre periférica (Bailey & Scott, 2009)
Plasmodium falciparum
Recuperado de: http://nursingpharmacology.info
/Antiparasitic/Pfal-atlas2dx.gif
Trofozoito
Recuperado de: http://sp0.fotolog.com/
photo/32/41/83/olgademoda/1213790175558_f.jpg
Tamaño: diámetro mayor a 15 μm
Forma: irregular
Descripción: trofozoíto joven, cuyo aspecto es filiforme, se observa un círculo azul muy delgado alrededor de una vacuola de gran tamaño.
El núcleo es de color rojo intenso; puede haber dos núcleos pequeños que pueden estar separados, o bien, unidos por un filamento rojo apenas visible, (forma de pesas, audífonos) ó en posición diametralmente opuesta. Una vez infectado, el eritrocito huésped no cambia de tamaño ni se deforma.
Organelas y/o inclusiones evidentes: manchas de Maurer se tornan café rojizas
Sitio del cuerpo donde se pueden encontrar normalmente: Sangre periférica
(Bailey & Scott, 2009)
Esquizonte
Recuperado de: https://encrypted-tbn2.gstatic.com
/images?q=tbn:ANd9GcSxXoevADfgU-m_qr-w
reJ3UBTNv2_7Uh0n0RLuq2INyX4ajWYV
Tamaño: diámetro 15 μm
Forma: irregular
Descripción: El esquizonte maduro contiene merozoítos de tamaño y número variables; por lo general, miden 5 μm de diámetro y ocupan 2/3 del eritrocito parasitado. Cada esquizonte tiene un promedio de 16 merozoítos (8-32). Los merozoítos son pequeños y su forma es ovalada o redonda.
Organelas y/o inclusiones evidentes: manchas de Maurer se tornan café rojizas
Sitio del cuerpo donde se pueden encontrar normalmente: Sangre periférica
(Bailey & Scott, 2009)
Gametocitos
Recuperado de: http://upload.wikimedia.org/wikipedi
a/commons/thumb/f/fc/Plasmodium_falciparum_
01.png/250px-Plasmodium_falciparum_01.png
Forma: irregular
Descripción: El gametocito joven tiene forma redonda u ovalada; cuando madura tiene forma de huso con flecos (forma de cigarro) o de arco con los extremos redondeados ( forma de banano, luna creciente). En esta fase pueden estar aparentemente libres, ya que los eritrocitos parasitados han sido destruidos o sólo quedan sus membranas. El gametocito femenino es de color azul fuerte y presenta un núcleo granuloso que se extiende en el centro y queda en parte oculto por el abundante pigmento negro y la forma alargada. El gametocito masculino es menos alargado, su citoplasma es rosado y el núcleo está más concentrado en el centro.
Organelas y/o inclusiones evidentes: manchas de Maurer se tornan café rojizas
Sitio del cuerpo donde se pueden encontrar normalmente: Sangre periférica
(Bailey & Scott, 2009)
Enfermedad de Chagas
La tripanosomiasis americana (enfermedad de Chagas) es una importante causa de cardiopatías, megaesófago y megacolon entre los habitantes de México, Centroamérica y Sudamérica. La enfermedad de Chagas se transmite a través de las picaduras de insectos triatóminos, o “chupasangres”. Algunos insectos infectados se encuentran en ambientes selváticos, donde los humanos son expuestos sólo ocasionalmente. Estos “ciclos selváticos” abarcan desde Estados Unidos hasta Sudamérica. Desde México hasta Sudamérica, los insectos triatóminos también se han adaptado a las viviendas de humanos, especialmente aquellas más precarias en las que los insectos se esconden en las grietas durante el día y salen a la noche a alimentarse de humanos y animales. La mayoría de los casos registrados en humanos han sido adquiridos de los insectos en estos “ciclos domésticos”, y las campañas para eliminar los agentes, junto con las pruebas realizadas para prevenir los casos congénitos y la transmisión en las transfusiones de sangre, han reducido considerablemente la incidencia de la enfermedad de Chagas (Castillo & Guerrero, 2007).Tripomastigote
Recuperado de: https://31.media.tumblr.com/383
fc5937c2f550a6ec2170d6756386e/tumblr
_inline_n4vkxnbOQ11qbck1k.jpg
Tamaño: diámetro variable
Forma: irregular
Descripción: Es fusiforme. Mide 12 - 30 µm, incluyendo el flagelo que inicia en la parte posterior del parásito, y emerge libre en el extremo anterior, formando en su trayecto submembranal una membrana ondulante. Presenta un gran núcleo central. El cinetoplasto es grande y de ubicación subterminal.
Sitio del cuerpo donde se pueden encontrar normalmente: Sangre periférica
(Castillo & Guerrero, 2007)
Amastigote
Recuperado de: http://www.phsource.us/PH/
PARA/Chapter_11_files/image019.jpg
Forma: irregular
Descripción: Es redondeado u ovoide. Mide 1.5 - 4.0 µm. En él pueden apreciarse el núcleo, el cinetoplasto y cuerpo basal.
Sitio del cuerpo donde se pueden encontrar normalmente: Tejidos
(Castillo & Guerrero, 2007)
Leishmania
Las leishmaniasis son un grupo de enfermedades causadas por diferentes parásitos que pertenecen a la familia Tripanosomatidae, género Leishmania, transmitidas al ser humano por la picadura de distintas especies de insectos flebótomos.
Estos flebótomos, que son los vectores de la enfermedad, son diferentes según la especie de Leishmania.
Estas enfermedades se caracterizan por comprometer la piel, mucosas y vísceras. Dicho compromiso dependerá fundamentalmente de la especie de Leishmania, pero también de la res-puesta inmune del huésped entre otros factores.
Las leishmaniasis son transmitidas por la picadura de flebótomos, pequeños insectos de 2 a 3 mm, en América del género Lutzomyia.
Existen más 500 especies de flebótomos, aunque son pocos los que transmiten leishmaniasis, y cada especie de Leishmania tiene una o pocas especies de flebótomos capaces de mantenerlas en el ciclo silvestre, y de ellas las antropofìlicas son las que pueden transmitirla al hombre, que siempre es un huésped accidental de estas zoonosis (Koneman, 2008).
Promastigote
Recuperado de: https://www.msu.
edu/course/zol/316/ltroppro.jpg
Forma: irregular
Descripción: promastigote, literalmente, la forma del cuerpo con "un flagelo anterior" es de 15-30 u m de longitud del cuerpo y 5 mm de ancho; es extracelular, motilidad, y crece y se divide por fisión binaria en el flebótomo
Sitio del cuerpo donde se pueden encontrar normalmente: Sangre periférica (Koneman, 2008)
Amastigote
Recuperado de: http://webpages.lincoln.ac.uk/fruedisue
li/FR-webpages/parasitology/Parasites/PI
C/images/Leishmania-amastigote.JPG
Forma: irregular
Descripción: sin un flagelo, es la forma intracelular, no móvil en el huésped vertebrado, y se divide por fisión binaria longitudinal. Amastigotes intracelulares son 3-6 μm de longitud y de 1,5 a 3,0 μm de ancho. El amastigote también se llama la Leishman-Donovan (LD) del cuerpo. El amastigote no es realmente desprovisto de un flagelo, es simplemente que el flagelo no sobresale más allá de la superficie del cuerpo y por microscopía de luz no puede ser visto.
Sitio del cuerpo donde se pueden encontrar normalmente: Tejidos (Koneman, 2008)
Bibliografía
Castillo, C. A & Guerrero, O. M. (2007). Técnicas de diagnóstico parasitológico. Costa Rica: Universidad de Costa Rica
Koneman, E. W. (2008). Diagnostico microbiológico: texto y atlas. Buenos aires: médica panamericana













